Doppia arcata a carico immediato
Zirconia ceramica su denti ed impianti


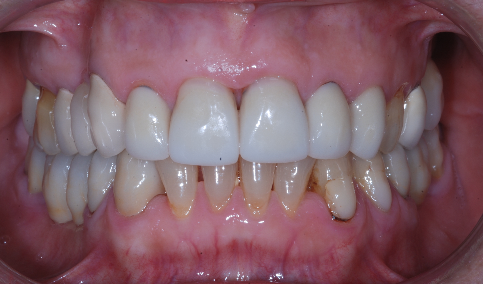
Arcata superiore in zirconia su denti ed impianti
Arcata inferiore denti in composito


Soluzione estetica con corone in ceramica doppia arcata


Doppia arcata a carico immediato
immagini dei provvisori


Doppia arcata
Soluzione immediata in un giorno


Corone in zirconia ceramica arcata mascellare e mandibolare su denti naturali


Arcata superiore a carico immediato provvisorio appena eseguito


Gruppo frontale a carico immediato - provvisorio


Carico immediato allon4
arcata superiore e inferiore




Doppia arcata immediata su impianti allon4


Arcata superiore carico immediato zirconia


Restyling del sorriso in zirconia su impianti


Doppia arcara a carico immediato
provvisori in un giorno


Doppia arcata a carico immediato
su impianti con denti in zirconia


Testimonianze dei pazienti

"Fastidi zero!
Mille, mille grazie!!!"
Vittoria

"...un esperienza fenomenale"
Letizia

"la felicità dei bambini"
Giulia
